


次のようなお悩みはありませんか?
出っ歯な気がする
整った口元にしたい
しっかりと噛めるようにかみ合わせを整えたい
笑顔に自信を持ちたい
目立ちにくい方法で矯正治療を行いたい
矯正治療は何歳でも始めることができます。矯正治療をするか悩んでいる方も、お気軽にご相談ください。まずはお話だけでも大丈夫です。
当院では、マウスピース型矯正装置(インビザライン)とワイヤー矯正に対応しています。歯並びやご予算などに合わせて矯正方法をご提案いたします。
※完成物薬機法対象外の矯正歯科装置であり、医薬品副作用被害救済制度の対象外となる場合があります。
矯正治療の対象となる歯並びやかみ合わせのよくない状態は歯並びは不正咬合と呼ばれ、さまざまな種類があります。
叢生(そうせい)
歯が並ぶスペースが不足し、歯が重なって凸凹の歯並びの状態です。重なっている部分をしっかりと磨けないのでむし歯や歯周病のリスクが高まります。
上顎前突(じょうがくぜんとつ)
上の前歯が前方に突き出している歯並びです。唇を閉じにくく、口の中が渇いてむし歯や歯周病のリスクが高まります。
下顎前突(かがくぜんとつ)
下の前歯が上の前歯より前に出ている状態です。成長とともに悪化する場合があり、顎に負担がかかりやすいため顎関節周囲に痛みが出る可能性があります。
開咬(かいこう)
奥歯はかみ合っているのに上下の前歯がかみ合わない状態です。お口が開いているので、口の中が乾燥して、むし歯や歯周病のリスクが高くなります。発音や滑舌の問題が出る場合もあります。
過蓋咬合(かがいこうごう)
上の前歯が深くかみ合い、下の前歯がほとんど見えない状態です。奥歯がすり減りやすく、顎関節に負担がかかって、顎関節症の原因になる場合があります。また、下の歯が前歯の裏側の歯ぐきに当たり、傷つける可能性もあります。
空隙歯列(くうげきしれつ)
歯と歯の間にすき間があり、食べ物が歯の間に詰まりやすくむし歯や歯周病のリスクが高くなります。また、息が漏れてサ行を発音しにくくなる場合があります。
矯正治療におけるメリット・デメリットをそれぞれお伝えします。

見た目の悩みが解消される
しっかりと噛んで食事ができる
自分の歯を長く保つことができる
顎関節への負担を軽減できる
むし歯や歯周病の予防につながる
歯並びが整うことでコンプレックスが解消され、自然な笑顔へと導きます。
見た目の美しさだけでなく、歯磨きやメンテナンスがしやすくなり、むし歯や歯周病の予防にもつながります。さらに、かみ合わせが改善されることで顎への負担が軽減され、顎関節症のリスクも抑えられます。
透明で目立ちにくいマウスピース型矯正(インビザライン)は、取り外し可能なため、食事や歯磨きも普段通り行えるのが大きな特長です。通院頻度も1~2ヶ月に1回と少なく、忙しいけど矯正治療もしたいという方にもおすすめです。ワイヤー矯正は幅広い症例に対応していますので、マウスピース矯正ができないと言われた方もご相談ください。
最初の検査・カウンセリングでは治療後の歯並びを事前にシミュレーションできるため、どんな歯並びをめざしたいか相談しながら決めることができます。
※完成物薬機法対象外の矯正歯科装置であり、医薬品副作用被害救済制度の対象外となる場合があります。

顎の適切な発育・発達を促せる
将来の矯正治療における抜歯のリスクが少なくなる
適切な呼吸や姿勢を習得できる
将来のお口の健康を保ちやすくなる
お顔のバランスが整う
子供のころから矯正治療を行うことで、適切な顎や顔の発育・発達を促し、将来的な抜歯のリスクを軽減し、お口の健康を保つことにもつながります。
MFT(口腔筋機能療法)と一緒に矯正治療を進めることで、舌の適切な位置や口の動きを習得し、歯並びを悪くする根本的な原因の改善が期待できます。

矯正装置を装着し始めの時期は、痛みや違和感が出る場合があります。
歯の動き方には個人差があります。
装置をつけていると歯を磨きにくいので、むし歯や歯周病のリスクが高まります。
インビザライン公式ページはこちら
インビザライン・ファースト公式ページはこちら
マウスピース型矯正装置(インビザライン)のデメリット
・1日20時間以上の装着が必要
取り外しができ、歯磨きや食事時は外して過ごせますが、1日20時間以上の装着時間を守らないと治療計画通りに歯が動かない場合があります。
・適応できない歯並びがある
すべての歯並びに対応するのは難しく、適応できないケースもあります。
当院ではワイヤー矯正にも対応しているので、組み合わせることで幅広い歯並びが対象となります。
矯正治療は、歯や顎、骨格の状態を把握し、分析に基づいた治療が重要です。
当院では、口腔内スキャナー(Itero)やセファログラムなどの先進機器を導入した精密な検査・診断のもとに矯正治療を行っています。
また、マウスピース型矯正装置(インビザライン)の場合は、ホワイトニングも一緒に行っていただけます。
口腔内スキャナー(Itero)
光学スキャニングによって、歯にかざすだけで精密な歯型のデータを取得できる口腔内スキャナー(Itero)を導入しています。
口腔内スキャナーで取得したデータは直接アメリカにあるメーカーに送信され、精密かつスピーディーにマウスピース型矯正装置(インビザライン)を製作いたします。
セファログラム
セファログラム(頭部X線規格写真)は、矯正治療の精密な診断・分析に欠かせない頭部・顔面の骨格や上下の顎骨の位置関係、かみ合わせの状態、軟組織などを確認できる頭部レントゲンです。
セファログラムで詳細な顔面・頭部の状態を把握し、お一人お一人の骨格や歯列に合った治療計画のご提案に役立てています。
ホワイトニングも同時に可能
マウスピース型矯正装置を歯に装着する際に、ホワイトニングの薬剤を入れて装着することでホワイトニングも一緒に行えます。より美しい口元をめざす方におすすめです。(別途ホワイトニング薬剤の購入が必要です。)
セルフライゲーション型マルチブラケット装置
当院では、セルフライゲーション型マルチブラケット装置を採用しています。従来のブラケット矯正とは異なり、ワイヤーをゴムや金属線で固定せず、スライド式のブラケットで優しく保持するため、摩擦が少なく歯がスムーズに動きます。その結果、弱い力で効率的に歯を移動させることができ、痛みの軽減や治療期間の短縮が期待できます。

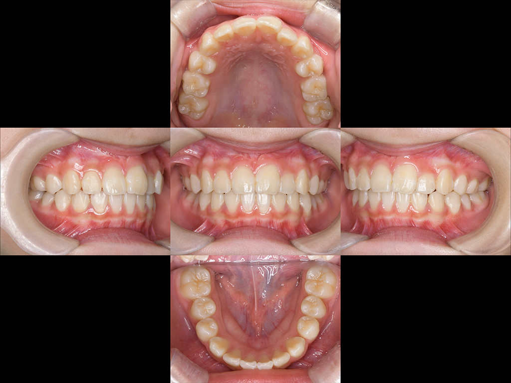
Before

After
| 年齢 | 8歳 女性 |
|---|---|
| 治療方法 | 矯正治療 拡大床 プレオルソ MFT |
| 治療期間 | 2年 |
| 治療費用 | 440,000円(税込) |

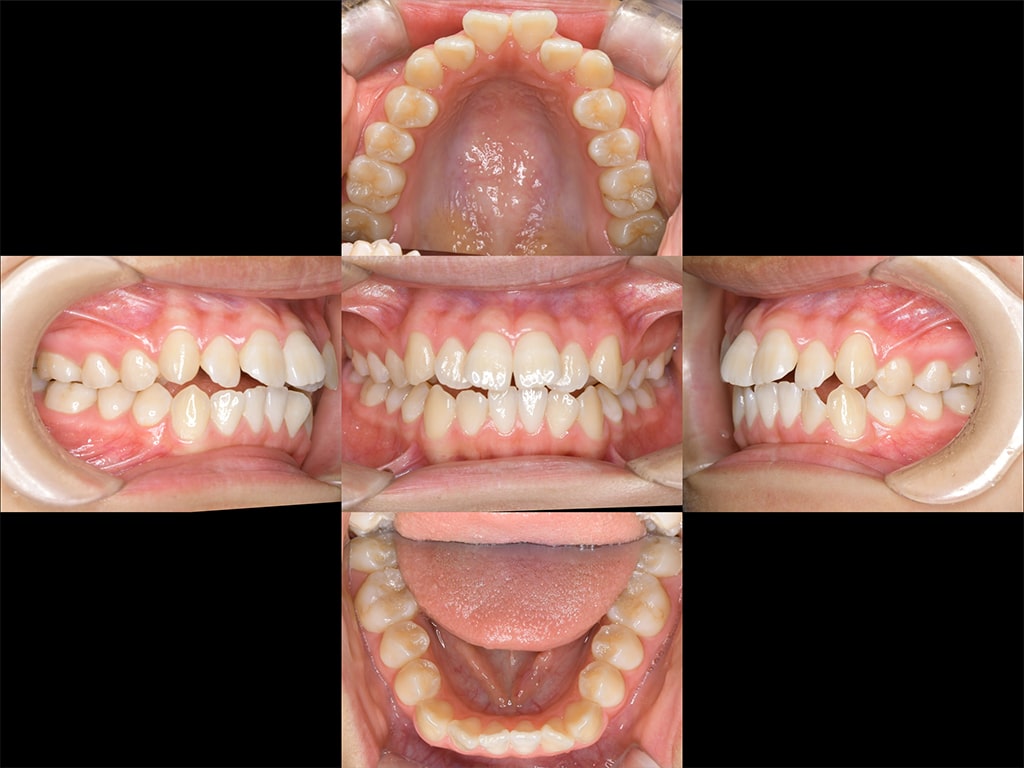
Before

After
| 年齢 | 9歳 女性 |
|---|---|
| 治療方法 | 矯正治療 インビザライン プレオルソ MFT |
| 治療期間 | 2年 |
| 治療費用 | 330,000円(税込) |

Before

After
| 年齢 | 13歳 女性 |
|---|---|
| 治療方法 | 矯正治療 インビザライン ホームホワイトニング |
| 治療期間 | 1年6ヶ月 |
| 治療費用 | 880,000円(税込) |

Before

After
| 年齢 | 50歳 女性 |
|---|---|
| 治療方法 | 矯正治療 インビザライン ホームホワイトニング |
| 治療期間 | 1年7ヶ月 |
| 治療費用 | 880,000円(税込) |

まずは、歯並びやかみ合わせのお悩みやご希望をおうかがいします。お口の状態を確認し、全身の病気の有無、生活習慣なども考慮して、マウスピース型矯正装置「インビザライン」の適応となる歯並びであるかを判断いたします。
現時点で考えられるおおまかな治療期間や費用もお伝えします。
矯正治療を始めるか悩んでいる方も、ぜひ一度ご相談ください。


歯科用CT/セファログラムでのレントゲン撮影、お口の中やお顔の写真を撮影します。
その他に、口腔内スキャナーを使用して歯並びや歯形を立体的に記録していきます。
従来のように、粘土のような印象材を使用した型取りは必要ありません。

取得した歯型データをもとに、治療完了時の歯並びや治療中の歯の動きを、3Dシミュレーションでご確認いただきます。併せて、治療計画・期間・費用についても詳しくご説明いたしますので、内容にご納得いただけましたら矯正治療を開始いたします。


◾️ワイヤー矯正
歯の表面をきれいにクリーニングした後、専用の接着剤でブラケット(矯正装置)を歯に装着します。その後、ブラケットにワイヤーを通して適切な力を加えられる状態にします。
約4~6週間ごとに通院していただき、ワイヤーの調整や装置のチェックを行います。
◾️マウスピース型矯正装置「インビザライン」
準備が整いましたらご連絡いたしますので、ご都合の良いタイミングでご来院ください。ご来院時に、装置の取り扱い方や注意事項を説明いたします。
装置は1日20時間以上の装着が必要です。数週間ごとに新しい装置への交換も忘れず行ってください。
装置を装着する際に、ホワイトニング剤(別途購入必要)を装置に流し込んでから装着していただくことで、ホームホワイトニングも同時に行えます。

治療計画通りに歯が動いたら、その状態を安定させるための保定期間に移行します。保定装置(リテーナー)を装着していただき、歯科医院で定期的にチェックを行います。
歯並びとかみ合わせが安定したら治療は終了です。

子どもの歯並びが気になる方はこちら